De multe ori, priceperea ortodontului sau tehnologia de ultima generație a aparatului ortodontic sunt depășite de dificultatea cazului clinic. Sunt acele cazuri clinice, care se prezintă destul de rar pe la cabinetul ortodontului întrucât pacientii sunt oarecum resemnati. Au văzut pe la televizor sau pe internet cum se poate “plimba” un canin dintr-o parte în alta a arcadei dentare sau cum se poate trata o ocluzie deschisa însă….nimic asemănător cu cazul lor. Prin urmare, accepta situația, unii ca pe un handicap cu care trăiesc zi de zi afectându-le viata sociala….alții privesc aceasta anomalie ca pe o trăsătură specifica lor, cu care i-a înzestrat natura, fără sa facă mult caz pe seama asta.
Din păcate, multe cazuri ajung în clinica de ortodontie atunci când perioada de creștere si de formare osoasa este finalizata, rămânând ca si singura alternativa tratamentul mixt ortodontic și chirurgical.
Pe vremea perioadei mele de rezidențiat auzeam ca astfel de tratamente se fac…undeva la Cluj…undeva la București…și de foarte multe ori …”undeva afara”. Din păcate, nu știam nimic….: Cine operează? Cum operează? La ce costuri? Cu ce șanse de succes? Accesul pacientului la astfel de informații fiind foarte dificil.
Unul din obiectivele noastre ca și clinica de ortodonție a fost, de la bun început, sa extindem posibilitățile de tratament ortodontic dincolo de limite….Dincolo de limitele tratamentului convențional ortodontic.
Departe de a ne considera pionieri în tratamentul ortodontic și chirurgical, sentimentul ce ne anima poate fi comparat cu cel al pilotilor de la inceputul erei supersonice. Trebuia depășită limita…..Simțeau nevoia sa audă acel ….Sonic BOOM.
In ortodonție, ca și clinica…”aveam aripi”…..aveam “piloți” bine pregătiți…aveam logistica dar mai presus de toate aveam dorința. Ne lipsea totuși un “motor cu reacție ” care sa ne ajute sa traversam bariera biologica existenta la pacienții cu anomalii severe.
Am inceput o colaborare stranssa cu Dr. Talpoș Șerban-medic primar, specialist chirurgie oro-maxilo-faciala, asistent universitar Departamentul de Chirurgie Maxilo-Faciala Timișoara,Doctor in Stiinte Medicale. “Ne aducem și azi aminte cu placere momentul în care, împreună, concepeam “un dispozitiv” chirurgical și ortodontic cu care sa depășim barierele ortodonției convenționale. Eram atunci departe, …pe malul Mediteranei, discutând planurile în amănunt.
Iata aici prezentat primul nostru “zbor supersonic”,impreuna,ca echipa. Primul nostru …Sonic BOOOOM!
Pacientul în vârstă de 23 de ani retrognatism maxilar sever, anomalie scheletala cls III Angle. Cazul era depășit pentru a fi tratat exclusiv prin mijloace de corectare ortodontice…

Analiza cefalometrica, parte din diagnosticul ortodontic efectuat, sugera un retrognatism maxilar sever. Pacientul avea nevoie de tratament ortodontic combinat cu cel chirurgical.
Pentru cei care nu cunosc procedura,vizualizarea materialului video de la Dolphin sugerează etapele de tratament
1) Aparat ortodontic inițial pentru aliniere și nivelare plan de ocluzie;
2) Intervenția chirurgicala cu fractura controlata a osului maxilar (osteotomie Le Fort I);
3) Continuare tratament cu aparat ortodontic restabilirea raporturilor ocluzale corecte.
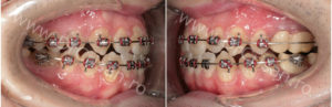
Fotografie realizata în timpul intervenției chirurgicale. Imagini cu fractura controlata a maxilarului, stabilirea raporturilor corecte, imobilizarea maxilarului în noua poziție cu ajutorul unor plăcuțe de osteosinteza.
Fotografii realizate la finalul intervenției chirurgicale (foto stânga “Sutura” – foto dreapta “raport dentar post operator”), urmează restabilirea ortodontica ulterioara a raporturilor ocluzale.

Tratamentul ortodontic a continuat cu același aparat ortodontic cu care s-a început terapia. Raporturile ocluzale cadran stâng respectiv cadran drept.

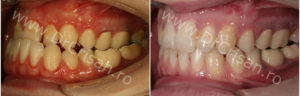
Dupa alte 6 luni de tratament ortodontic … IATA REZULTATUL FINAL. Fotografie frontala Inainte/Dupa

Fotografie laterala dreapta Inainte/Dupa tratament

Fotografie laterala stanga Inainte/Dupa tratament

Durata totala de tratament combinat – 16 luni.
E greu probabil, greu de imaginat sentimentul pe care îl încearcă medicul sau echipa de medici la finalul unui astfel de tratament. Analizând din nou cazul, acum la expunerea lui pe blog, am sentimentul ca nu ne-am bucurat suficient la momentul respectiv sau, mai corect, ca nu ne-am manifestat suficient aceasta bucurie a reușitei. Rezultatul tratamentului era rodul unui mecanism complex care a trebuit sa funcționeze perfect: Pacient-Chirurg-Ortodont. Si asa a fost!!!
Apoi au venit alte și alte cazuri chirurgicale însă acesta…..a fost primul nostru Sonic BOOM!!!!
Iata ce am simțit cu toții la finalul acestui tratament. Urmăriți materialul cu difuzoarele computerului pornite:)

